セラミックが欠けてしまわないために必要なこと【厚さ】
セラミックの被せ物が欠けてしまったことはありますか?
セラミックの被せ物は欠けると多くの場合、作り直しになってしまいます。
中には何度も繰り返した経験をお持ちの方もいらっしゃるかもしれません。
今日は、セラミックの歯が欠けてしまわないための、とても大切な治療ステップについてお話しします。
セラミック治療においてはとても基本的なことにも関わらず、守られていないことも多いと感じています。

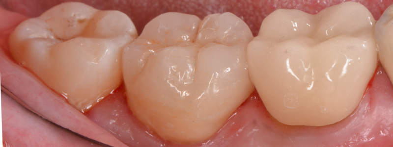
下の奥歯を削って、型取りし、

精密なセラミックを作り、お口の中にセットしました。
(このセラミックは古典的なクラウンの形ではなく、接着を利用したオーバーレイという形です。削る量を最小限にできます。)
欠けないために必要なのは「厚さ」
セラミックが欠けないためには、

強度を保つための厚さが必要です。
厚さというのは、

矢印のことです。
土台の上に乗るセラミックの厚さです。
厚くするためには、土台を削る量を増やす
セラミックを厚くすれば丈夫になるのですが、

縦方向は咬み合わせの歯の位置が決まっていて、横方向は隣の歯に挟まれているので、歯の外寸は決まっています。
つまり、セラミックを厚くするために歯を大きくすることはできません。
なので、

セラミックの厚さを厚くするためにできることは、土台の大きさの調整です。
青の大きい土台だと、セラミックは青の厚み(薄い)。
緑の小さい土台だと、セラミックは緑の厚み(厚い)。
土台の歯をたくさん削って小さくした緑の土台の方が、セラミックが厚くなり欠けにくいことになります。
土台は小さすぎもよくない
厚くするためとはいえ土台を小さくし過ぎると、歯を削りすぎることになり、神経にダメージを与えてしまいます。
また、被せ物が外れやすくなることもあります。
セラミックの厚さは均等である必要あり
1つのセラミックの中で、各部位にかかる力の偏りが少なくために、できあがったセラミックの厚みは均等である必要もあります。
つまり、厚み=土台表面から咬み合わせの歯までの距離、が均等である必要があります。
そのためには、土台の形は咬み合わせの歯の形に応じて変化する曲面である必要があります。
欠けないセラミックの土台の形に必要なこと
以上をまとめると、
- 土台を削る量は、セラミックの厚みが十分取れるために、必要量しっかり削る
- 土台を削る量は、歯のダメージが最小限になるように、最小限にとどめる
- 土台の形は、咬み合わせの歯との距離がどこも均等になるように曲面である
将来欠けないセラミックを作るためには、三つの条件を満たした土台の形を作る必要がある、というわけです。
削り足りないのはいけないけど、削りすぎもよくない、しかも形は咬み合わせの歯に追従するように滑らかな曲面に。
理論上、理想の形の許容範囲の幅は狭く、ある一つのパターンのみ許されることになります。
かなり細かいことを狭いお口の中で、正確に実現する必要があるのですね。なかなか大変なことです。
土台の形の決め方
土台の形を3つの条件で正確に決めるためには、

理想とするセラミックの形がわかるようなピンク色の型枠を準備しておきます。
(写真はそれぞれ別の症例)
型枠から土台までの距離=「セラミックの厚さ」を測りながら土台を削ります。
金属の器具はシルバーと黒が3mm刻みになっていて、長さを測ることができます。
例えば奥歯の噛み合わせの部分では、セラミックは最低1.5mmの厚さが必要なので、測りながら形を決めます。
型枠を使って測りながら削ることで、削る量の過不足なく、土台の形を正確に作ることができます。
理想の処置を精密に行うことで、質の高い結果を
距離を正確に測って土台の形を決めるこのステップは、
- セラミックが欠けない厚さにするために
- 歯の神経へのダメージを最小限にするために
とても大切で、時間がかかることもあります。
しかし、神経への刺激が最小限で、かつ欠けずに長い期間快適に使えるセラミックのためには、欠かすことのできないステップです。
歯の治療は繰り返すほどに歯の寿命が短くなる
セラミックが欠けてしまうと、治療のやり直しになることがほとんど。
しかし、歯の治療は受ける回数が増すと、自分の歯は少なくなります。
再治療が続けば最終的には強度不足によって歯が割れて、抜歯することもあります。
そのため、治療をするならば将来に再治療の必要がないように、その時点で考えられる必要な治療内容を、高い質で受けておきたいものです。
そうすることで、60歳代、70歳代以降に歯を失う可能性を最小限にできます。
まとめ
セラミックが欠ける原因の多くが厚さ不足のため、今回は厚さを確実にするためのステップについてお伝えしました。
長持ちするセラミックのためには、他にもたくさんの守るべき項目があり、そのどれが抜けても長持ちしなくなります。
長持ちしなければ再治療が必要になり、その度に歯のダメージが増え、将来歯を失う可能性が上がってしまいます。
一番大事なのは、歯を虫歯にしないために予防習慣、生活習慣をつけること。
二番目は、治すなら質が高い、理想通りの医療を受けることです。
どちらも、お口のサポートを信頼してお願いできる歯科医院をパートナーにすることが大切ですね。
皆さまが快適なお口と健康な体で、楽しい毎日を過ごせますように
YF DENTAL OFFICE
名古屋市千種区池下 ナゴヤセントラルガーデン内
歯周病治療、歯内療法、審美歯科、セラミック治療、インプラント、ダイレクトボンディング、歯の移植、予防歯科、総合治療
「大切な歯をできるだけ削らない、歯と神経を残す」歯医者|YF DENTAL OFFICE

