ルーペについて(前編)歯を守るためには6倍以上のルーペが必要
生涯自分の歯でおいしく食べていくためには、質の高い治療が必要です。
しかし、質の高い治療を受けるには、歯医者さん選びという難しい問題があります。
当院の患者様からもよく伺うお悩みです。
今回は、歯医者さん選びの参考にしていただける、治療で使うルーペについて解説します。
結論を先にお伝えすると、
お口の健康を保つためには、6倍以上のルーペやマイクロスコープを用いた歯科治療を受ける必要があります。
では解説していきます。
歯科治療にルーペは絶対に必要

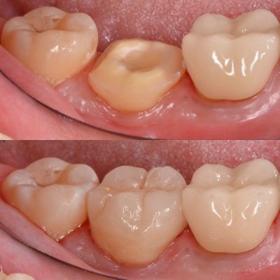
今、この写真で見て頂いているようなお口の中の様子は、実はルーペを使わない裸眼では見ることはできません。
歯の質感や、細かい材料の存在自体も、裸眼では見えません。
視力の良さに関わらず見ることはできません。
つまり、この写真を見ているあなたは、裸眼で治療している歯医者さんよりも、より細かいものを見ていることになります。
ルーペの有無で歯科治療は別次元に
ルーペを使ってわかることは、

- 量:
プラークの厚さ、歯肉の毛細血管の量、虫歯を削った量の過不足、歯が噛み合う部分の確認など - 質感:
プラークの質感、歯肉の硬さ、虫歯の柔らかさなど
実際の操作で例えると、
- 削った量の過不足がわかることで、神経への刺激を最小限で削ることができる
- 歯ぐきを圧迫する時、加えた力と歯肉の変形量がわかるので、歯肉のダメージを最小限にできる
- 咬み合わせを精密に調整できるため、治療後の違和感が少なく快適
一部だけ挙げましたが、他にも全てのシーンで違いがあります。
どれも、歯科治療として当たり前のことばかりで、おそらく患者様が、「歯科医師が理解できているに決まっていること」とイメージなさっていることばかりだと思います。

しかし、ルーペを使わない治療では、それはできないことなのです。
では、ルーペならどんなものでもいいのでしょうか。
ルーペには倍率の違いがある
精密な治療にはルーペは必須ですが、ルーペならどんなものでもいいわけではありません。
倍率が大きい必要があります。

ルーペの倍率には、2倍、2.5倍、3倍、4倍、5倍、6倍、8倍、10倍、12倍など、各メーカーから様々なものが用意されています。
簡単な検査には倍率の低いもの、精密な処置には倍率の高いもの、と使い分ける必要があります。
私は、患者様にメリットのある結果をお渡しするためには、歯科治療では6倍以上が必要だと思っています。
処置内容が、検査、治療、定期検診、メンテナンスと、何であっても、全てに6倍以上が必要と考えています。
2倍〜4倍くらいの低倍率ルーペでは、患者様に受け取っていただきたい長期的目線での良い結果は、お渡しできないでしょう。

例えば、黒丸の部分に見えている白い材料。
これはラバーダムシートが歯に触れないように距離を取るために使っています。
黒矢印の距離が約1mmになるように、太さを変えたり、圧迫する力を調整するのですが、高倍率ルーペでないと正確にできません。
また、右の歯の赤矢印で示す削ったラインは、ガタガタでなく滑らかにつながっていると、精密なセラミックの被せ物を作ることができます。
これも、低倍率ルーペでは質感が見えないために、滑らかにできません。
歯科医師と歯科衛生士、共に高倍率ルーペを使う必要がある
高倍率ルーペの必要性をお伝えしてきましたが、これは歯科医師だけではありません。
患者様のお口に関わる、全ての検査や処置内容が、高倍率の視野の元で行われる必要があります。

つまり、歯科衛生士さんが行う歯周病治療もメンテナンスも、歯科医師と同じ目線でディスカッションされ、
クリーニングは、よく見えている状態で精密に行われる必要があります。
それが高倍率ルーペでも、マイクロスコープでも良いでしょう。
しかし、一番よくあるのは、歯科医師はルーペを使っているけど、歯科衛生士さんは裸眼のパターンです。
私の考えですが、裸眼や低倍率ルーペでは、見えていない状態での検査やクリーニングを行っていることを意味します。
残念ながら、過去の経験上、汚れの取り残しも多いと感じています。

見えているものが違う世界では、チームワークを発揮し、患者様に有益な結果をお渡しすることはできません。
なお、当院では、歯科衛生士が6倍ルーペ、私が7.5倍ルーペとマイクロスコープを用いて診療にあたっています。
まとめ
生涯にわたってお口の健康を保つためには、
- 高倍率視野の治療を受けること
- 歯科医師と歯科衛生士が、共に高倍率の視野であること
が重要です。
もちろん、マイクロスコープはさらに拡大して見ることができるので、より精密な医療を受けることができます。
次回は、患者様が歯科医院でルーペをご覧になった時の、低倍率と高倍率ルーペの見た目の見分け方についてお伝えします。
これからも、生涯のお口の健康のための、おそらく多くの方がご存知のない本当に必要な歯科治療について、お伝えしていきます。
皆さまが快適なお口と健康な体で、楽しい毎日を過ごせますように
YF DENTAL OFFICE
名古屋市千種区池下 ナゴヤセントラルガーデン内
歯周病治療、歯内療法、審美歯科、セラミック治療、インプラント、ダイレクトボンディング、歯の移植、予防歯科、総合治療
「大切な歯をできるだけ削らない、歯と神経を残す」歯医者|YF DENTAL OFFICE

