詰め物の周りが黒くなってくるのは…
むし歯治療で、よく使う白い詰め物(コンポジットレジン)。
歯を削る量を少なくできたり、即日で治療が終わるなど、メリットが多い方法です。
しかし、治療結果に技術差が出やすい治療法でもあります。
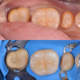
治療の跡↓
むし歯を削ったあと、白い詰め物で治してあります。
しかし、矢印の部分に黒い線が出てしまっています。
↑真ん中の歯
↑一部分だけ黒くなっています。
黒い線は、詰め物の周りの部分の接着が剥がれて、
その隙間に色素やプラークが入り込んでできているものです。
放置し続けると、二次むし歯になる可能性もあります。
コンポジットレジン治療では、歯に接着剤をつけてからレジンを詰めるのですが、
それだけでは、歯の表面のエナメル質の接着力が弱いと言われています。
そのため、エナメル質には、通常の接着剤を塗る前に、
エッチング処理(酸処理)という工程を行うことが推奨されています。
青い液が、エナメル質に塗ったエッチングジェルです。
歯の中に流れて象牙質についてしまわないように、
ジェル状になっていて、エナメル質だけを処理することができます。
エッチングを行うことにより、コンポジットレジンが歯から剥がれにくくなります。
それにより、治療から長期間経った後の黒い線を防ぐことができます。
エッチング処理を行うことで、わずかに治療時間は長くなりますが、
それによって長期間の予後が大きく変わるので、行うべき工程です。
コンポジットレジン治療が剥がれないようにするために必要なことは、エッチング処理以外にも、
・歯が乾燥していること。(=唾液や血液で濡れていないこと)
・接着剤の扱い方をメーカーの指示通り正確に行うこと。
と、正確、精密な処置が必要とされます。
はじめにお話しした、コンポジットレジン治療が技術差が出やすい治療法というのは、
このあたりをしっかり行っているかによって、結果が変わるということです。
歯は再治療を行う度に、状態が悪くなってしまいます。
その先には、神経を失う、歯を失う…と進み、全身の健康を脅かす事態が近づいてきます。
私が思う診療の最終ゴールは、「関わる人に、健康な体で人生を楽しんでいただくこと。」
そのために、再治療の必要の無いように、一つ一つの処置を正確精密に行います。
皆さまが快適なお口と健康な体で、楽しい毎日を過ごせますように
YF DENTAL OFFICE
名古屋市千種区池下 ナゴヤセントラルガーデン内
歯周病、歯内療法、審美歯科、インプラント、ダイレクトボンディング、歯の移植、予防歯科、総合治療の
「大切な歯をできるだけ削らない、歯と神経を残す」歯医者|YF DENTAL OFFICE






